作者:何芳芳
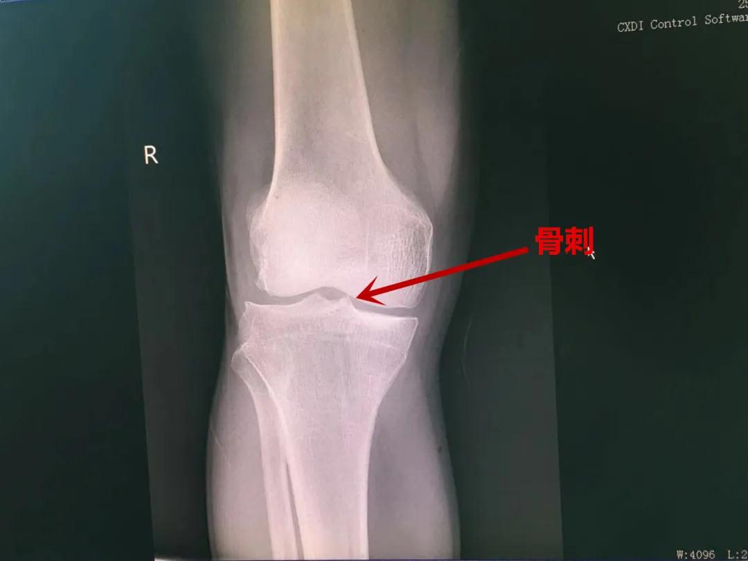
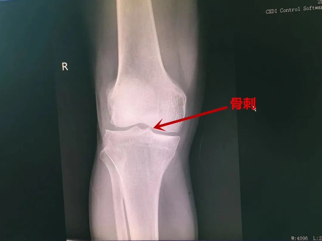
膝关节骨刺|痛痛痛 今年53岁的杨师傅经常从事半蹲位工作,素有膝关节疼痛,行走时疼痛明显,休息后能稍微好转。到新昌县中医院针灸科就诊检查后,何芳芳医生诊断为膝关节骨刺。经过一段时间的针刺、艾灸等治疗,杨师傅的膝关节病痛已经明显减轻了。 ● 什么是膝关节骨刺? “膝关节骨刺”又称为“膝关节骨质增生”,“膝关节骨性关节炎”,当关节软骨磨损到一定程度后,关节就出现了不稳定,骨骼会作出相应的反应,就会长出骨刺,用来增强关节稳定性,但是因增生的骨刺质地坚硬,表面粗糙,容易引发疼痛,从而影响正常的膝关节活动。 ● 如何保养和治疗呢? 针灸治疗膝骨性关节炎有比较好的效果,通过刺激膝关节周围穴位,调理气血,祛风寒、除湿、化瘀,可缓解疼痛,改善关节功能,阻止和延缓疾病的发展,保护关节功能。 ● 日常生活注意事项 1.避免过度剧烈运动,减少上下楼梯等运动;保持合适的体重,防止加重膝关节的负担,避免长时间下蹲,注意更换姿势。 2.局部热敷以改善局部循环,也可予外敷膏药,天气寒冷时应注意保暖,必要时带上护膝,防止膝关节受凉。 3.仰卧抬腿(股直肌锻炼):仰卧于床上,患腿上抬15度角左右,初做时可保持1~3分钟,练习一段时间后,争取达到10~15分钟。随后也可练习,随后也可练习用脚挑一个枕头,增加力量,每天2~3次。



