作者:特检科杨学明
泌尿系结石
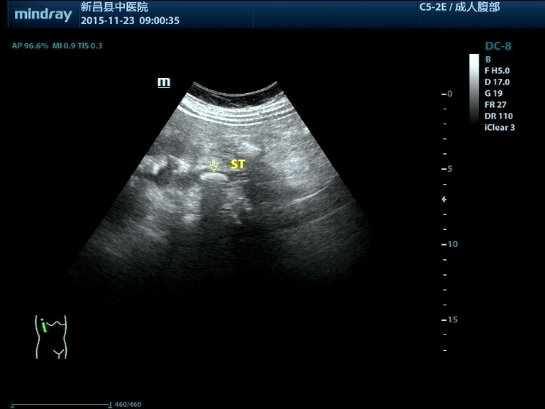
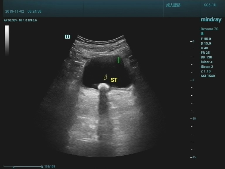
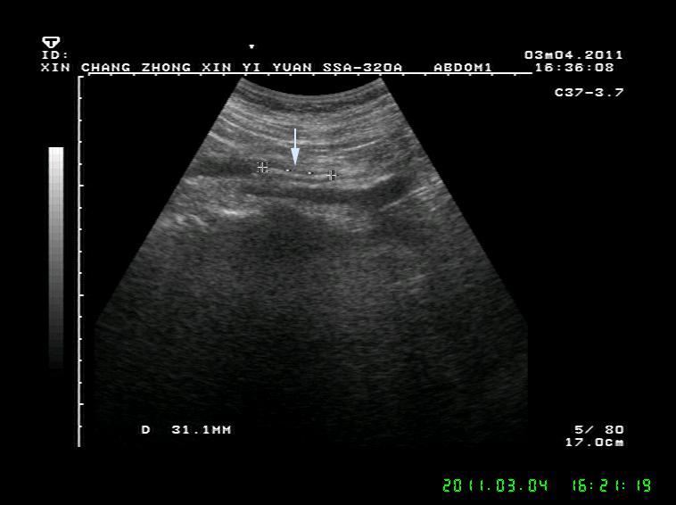
夏季到了,急诊室内面色苍白,捂着肚子,额头沁满汗珠的患者越来越多了,见到医生的第一句就是“医生,我的结石又痛了!” 泌尿系结石是一种常见病,多发病,医学上把肾脏结石、输尿管结石、膀胱结石和尿道结石统称为尿路结石。男性发病率明显高于女性。 01 尿路结石常见的病因 1.个体因素和遗传因素。 2.长期在高温环境中工作,机体水份蒸发多,尿液浓缩,容易形成结石。 3.代谢性疾病,如甲状旁腺功能亢进,尿中钙盐增多;痛风病人尿中尿酸盐增加,均易得结石。 4.某些食物或药物的长期作用使尿液酸碱度改变,也是结石生成的一种诱因。 5.前列腺增生或其他原因引起的排尿不畅,慢性尿潴留,因尿液浓缩尿液中盐份容易沉积,形成结石。 6.长期卧床,因骨质脱钙,血钙浓度增加易致结石形成。 结石的诱发因素多种多样,因此结石的预防也要有针对性。结石成分的分析有助于明确病因。盲目忌口对预防结石收效不明显。这里顺带一句,很多病人误认为柿子吃多了会得尿路结石,实际上这是一种讹传,柿子吃多了可能会凝结成胃肠道柿石,而与泌尿系结石完全没有关系。 02 泌尿系结石发作时的症状和体征 泌尿系结石原发部位一般都在肾脏内,平时不会有什么感觉,只有等结石掉入到肾盂出口处或输尿管内,引起输尿管梗阻和痉挛时才会出现一系列症状和体征。输尿管结石常停留于上端、下端及髂血管旁三个生理性狭窄处,结石对管壁的摩擦和刺激,可导致输尿管局部粘膜损伤、水肿甚至并发炎症。 结石疼痛常常呈突发性,表现为一侧腰部或腹部刀绞样疼痛,多数疼痛剧烈难忍,部分病人疼痛可放射至腹股沟区或会阴部。可伴有恶心呕吐、血尿,尿频、尿急、尿痛及反射性少尿。 体征表现为面色苍白,痛苦病容以及腰痛特有的姿势,检查可有肾区叩击痛。少数输尿管结石病人可以长期没有明显症状,往往要等到健康检查时才发现。 泌尿系结石的诊断:泌尿系统结石诊断并不难,一般通过超声或CT检查就能明确结石的大小和部位,肾输尿管有无扩张、积水。尿检有无红细胞可作为参考依据。 肾结石 肾积水 输尿管结石 膀胱结石 03 泌尿系统结石的治疗 1. 肾脏结石比较大的,或数量较多的,或伴有积水的可考虑外科微创或手术治疗。肾结石较小的一般没有症状也不影响肾脏功能,可不作处理。 2.输尿管结石不管在哪个部位,基本上都有不同程度的输尿管扩张和肾脏积水,时间久了积水可能会加重,影响肾脏功能。因此输尿管结石一经确诊一定要尽早治疗。0.5--0.6cm及以下的结石如果疼痛不是很厉害可以选择药物排石,但切记要间隔一星期左右复查,直到结石排出。较大的结石或保守治疗不能排出的结石可首先考虑体外冲击波碎石治疗。 3.膀胱结石最大径在3cm以下且前列腺增生不明显的可考虑体外碎石治疗。结石过大,或前列腺增生显著的可选择钬激光治疗或膀胱切开取石。 泌尿系结石虽然不算什么大病,但发作时疼痛是最剧烈的,大多需要急诊处理。体外冲击波碎石具有简便快捷,疗效确切,安全性高、痛苦较小、费用合理等优势,病人普遍容易接受,可以作为治疗泌尿系结石的首选。少数病人碎石后结石仍无法排出,或者是结石被包裹的病人则需要泌尿外科进一步处理。 输尿管结石碎石后呈长条状 敲黑板啦——预防结石有妙招●● 1.养成多饮水的习惯。多饮水可稀释尿液,降低尿内各种盐类的浓度。水源的改善对结石的预防也有一定的意义。 2.尽早除去尿路梗阻因素,如前列腺增生症、尿道狭窄等。 3.积极、规范、彻底治疗泌尿系的感染性疾病。 4.长期卧床的病人,应鼓励多活动,勤翻身,减少骨质脱钙。 5.有甲状旁腺机能亢进者,应积极治疗。 







